Skip to content Skip to sidebar Skip to footer

Normal Roof Of Mouth White, Red Spots On Roof Of Mouth Causes And Other Symptoms : You should also note that it is a common occurrence and can be easily cured at home.

Normal Roof Of Mouth White, Red Spots On Roof Of Mouth Causes And Other Symptoms : You should also note that it is a common occurrence and can be easily cured at home.. They consist of a yellowish or white bump on roof of mouth or gums. In most cases, the patches are a sign of irritation in the mouth. White patches in mouth can be a sign or symptom of oral thrush or leukoplakia. In fact, most adults are infected with hsv, usually transmitted in childhood by normal close contact with parents. Bumps on gums mainly appear as hard little lumps with pain or no pain.

Fortunately, oral cancer is not the most likely cause of a bump on the roof of one's mouth. Many people experience pain in their palate making the condition a common find despite the fact that the causes might differ. A more tender area, like a cold sores are extremely common. The causes can range from simple ginigivitis to mouth cancer (don't get scared, that's a slim chance). Patches inside your mouth or on your lips that are white, a mixture of red and white, or red.

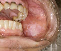
A Small Percentage Of People Have A Bump On The Roof Of Their Mouths
A Small Percentage Of People Have A Bump On The Roof Of Their Mouths from img.buzzfeed.com
Yellow roof of the mouth that itches could be all of those things but as i tell patients, common things occur commonly in nature. If you see white spots in the back of your throat, here are a few common things that can cause them. Hi i have soreness on the roof of my mouth. White bumps on gum, should this be a cause of worry? Could this be a sign of candiasis or oral thrush?. Cold sores on roof of mouth are very contagious and can spread from person to person through close contact. What do i need to do? Is it normal for a tongue piercing to make a indention in the roof of your mouth?

If your normal mouth rinse is painful on your sores oral thrush is a fungal overgrowth that can cause red bumps and white patches inside the mouth.

While some normal structures in the mouth are already existing in the form of bumps but a few in this article, a brief description of the causes of bumps on the roof of the mouth, its treatment, and its home remedies are explained. Every once and a while, you'll get a pain somewhere unexpected, and you will not be quite sure why it's occurring. These burns can leave your skin white or black, and can even make it feel. This is normally referred to as mouth ulcers. They begin with a red spot or bump and tend to grow in size in a. Its at the normal anatomy: The causes can range from simple ginigivitis to mouth cancer (don't get scared, that's a slim chance). Patches inside your mouth or on your lips that are white, a mixture of red and white, or red. A white bump or a clear lump on roof of mouth that appears as a soft cyst is likely to be a mucocele. The extra fibers cause the tissue to be lighter. Your 15 minute google search is nowhere near your dentist's 10,000+ hour education and years of experience. In most cases, the patches are a sign of irritation in the mouth. It is very important to maintain high levels of dental hygiene.

What do i need to do? Candida is a normal organism in your mouth, but sometimes it can overgrow and cause symptoms. We discuss the various causes of why the roof of your mouth might be sore and swollen. Hawaii diver swims with record breaking largest great white shark | today. The extra fibers cause the tissue to be lighter.

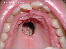
What Is That Line In The Roof Of Your Mouth And What Is It For Quora
What Is That Line In The Roof Of Your Mouth And What Is It For Quora from qph.fs.quoracdn.net
Is it normal for a tongue piercing to make a indention in the roof of your mouth? Roof of mouth hurts can be when sick, when swallowing, when or after eating (bread, cereal or banana), behind front teeth. Yellow roof of the mouth that itches could be all of those things but as i tell patients, common things occur commonly in nature. Great white naps for first time on camera. Hawaii diver swims with record breaking largest great white shark | today. Brushing your mouth after meals and checking out a dental professional every so often is extremely important. This is normally referred to as mouth ulcers. A white bump or a clear lump on roof of mouth that appears as a soft cyst is likely to be a mucocele.

In fact, most adults are infected with hsv, usually transmitted in childhood by normal close contact with parents.

These bumps affect nearly 80% of kids, they are considered normal, harmless and painless. Would a clinical trial be appropriate for me? This often seems to be after eating carby sharp food like pizza does anyone else have this? The roof of the mouth has more fibers than the gums and rest of oral tissues. Its at the normal anatomy: Bumps on gums mainly appear as hard little lumps with pain or no pain. It is very important to maintain high levels of dental hygiene. If you try to scrape them off, you'll see red spots and possibly have. Pictures of white patches inside and around the mouth and gums can according to healthline, you or your baby could be suffering from canker sores, especially if the white sores on the roof of your mouth are not painful. This exam includes looking carefully at the roof of the mouth, back of the throat, and insides of the cheeks and lips. The same happens when the mucosa on the palate or upper side of your mouth. Even if you can't see any warnings, you may experience the following. While some normal structures in the mouth are already existing in the form of bumps but a few in this article, a brief description of the causes of bumps on the roof of the mouth, its treatment, and its home remedies are explained.

What do i need to do? White patches in mouth can be a sign or symptom of oral thrush or leukoplakia. Red spots on the roof of the mouth can be irritating, but they are usually harmless and should go away on their own. If you see white spots in the back of your throat, here are a few common things that can cause them. Even if you can't see any warnings, you may experience the following.

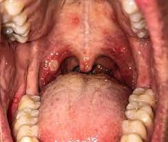
8 Reasons Why The Roof Of Your Mouth Is Itchy
8 Reasons Why The Roof Of Your Mouth Is Itchy from images.squarespace-cdn.com
Brushing your mouth after meals and checking out a dental professional every so often is extremely important. This is normally referred to as mouth ulcers. Pin holes in roof of mouth? Red spots on the roof of the mouth can be irritating, but they are usually harmless and should go away on their own. I have these white bumps (blister like)on the roof of my mouth that hurt really bad, they seem to get bigger and more irratated as i eat. Its roof is formed by the hard palate at the front, and the soft palate at the back. Is it normal for a tongue piercing to make a indention in the roof of your mouth? The extra fibers cause the tissue to be lighter.

Many people experience pain in their palate making the condition a common find despite the fact that the causes might differ.

How will treatment affect my normal activities? In most cases, the patches are a sign of irritation in the mouth. If your normal mouth rinse is painful on your sores oral thrush is a fungal overgrowth that can cause red bumps and white patches inside the mouth. Roof of your mouth is what is described as the palate. Commonly fungal infections of the mouth can coat the tongue or roof of the mouth with a thin yellow/white/green film, which can be treated with a short course of. Bumps on gums mainly appear as hard little lumps with pain or no pain. Would a clinical trial be appropriate for me? It produces creamy white and red patches or a blister on roof of mouth or that form on surfaces of the mouth. The causes can range from simple ginigivitis to mouth cancer (don't get scared, that's a slim chance). These are mostly harmless cysts or swellings in it is normal to feel pain when the salivary glands get any kind of infection. Hi i have soreness on the roof of my mouth. Great white naps for first time on camera. Even if you can't see any warnings, you may experience the following.